2021年10月5日,New Phytologist在线发表了中国水稻研究所水稻生物学国家重点实验室任德勇副研究员、钱前院士以及浙江师范大学国家级生物实验教学中心饶玉春教授为共同通讯作者的题为“UDP-N-acetylglucosamine pyrophosphorylase enhances rice survival at high temperature”的研究论文。该研究报道了UDP-N-乙酰氨基葡萄糖焦磷酸化酶编码基因HES1在水稻对高温胁迫的适应中起关键作用。

温度是影响作物生长发育的重要环境因素,由全球变暖导致的气温上升对农作物生产造成严重威胁。暴露在高温下的植物会导致其体内活性氧(ROS)稳态失衡而过量积累,进而诱发DNA损伤、蛋白质变性、色素分解、碳水化合物氧化和脂质过氧化等不良细胞反应。迄今为止,已鉴定出多种参与调控高温下水稻存活的关键基因,然而,水稻应对高温的遗传机制在很大程度上仍是未知的。
本研究从籼稻品种ZF802的EMS诱变突变体库中获得了high temperature enhanced lesion spots 1(hes1)突变体,该突变体在幼苗阶段的叶尖出现较小红褐色且散发性的局部病变,这些病斑随植物的生长变得更密集和明显扩散,随后发生缺绿病和叶片的迅速死亡。另外,hes1突变体的株高、穗长、每穗粒数、幼苗率和千粒重均较WT显著下降。经图位克隆和鉴定发现,hes1突变体是由编码UDP-N-乙酰氨基葡萄糖焦磷酸化酶的HES1基因点突导致的,HES1突变破坏了其编码蛋白的UGPase酶活性。
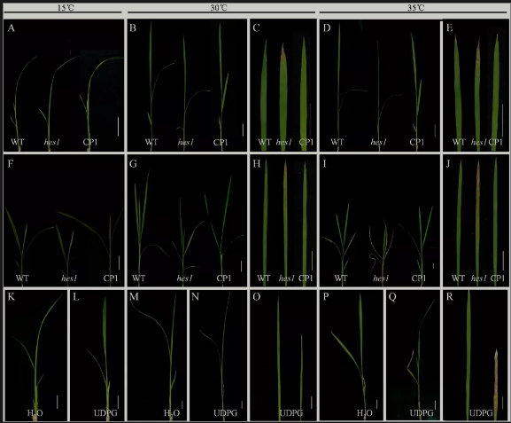
分别在低(15℃)、中(30℃)、高(35℃)温度生长室中培养WT和hes1突变体,结果发现温度可诱导类病变的发生,并且高温促进了hes1病变的发展。此外,UDPG处理后的hes1突变体对高温更为敏感(图1)。

图1.不同温度下WT、hes1和互补株系(CP1)的表型特征
qRT-PCR分析显示,HES1响应高温诱导,HES1功能缺失导致热激转录因子HsfA1以及HsfA2a/c/d/e/f表达下调。RNA测序分析显示,在不同温度下,hes1突变体中光系统以及氧化还原过程和氧化还原酶活性相关基因差异表达,表明HES1在维持叶绿体功能和结构以及氧化还原稳态调控方面发挥重要作用。后续实验结果表明,高温触发hes1突变体积累了更高的活性氧(图2)。TUNEL检测和彗星实验结果显示,hes1在高温下的DNA损伤更为严重。叶绿素含量测定和叶绿体超微结构观察表明,hes1在高温下的光系统发生严重缺陷。

图2.不同温度下WT、hes1和互补株系(CP1)中ROS含量的测定
综上所述,高温下野生型水稻的ROS及其清除系统均处于动态平衡状态;而HES1功能缺失影响HSFs基因的表达,导致ROS爆发和叶绿体降解,引发DNA损伤和细胞凋亡,反过来,hes1突变体在高温下的叶绿体降解和DNA损伤促进了其体内ROS的积累(图3)。

图3. HES1参与水稻对高温胁迫适应性的工作模型
该研究得到了国家自然科学基金、中央公益性科研机构基础研究基金的资助。
原文链接:
https://nph.onlinelibrary.wiley.com/doi/10.1111/nph.17768
